You are using an outdated browser. For a faster, safer browsing experience, upgrade for free today.

Loading...

Detailed strain information

StrainNO A16
Classification Streptomyces
16s rDNA sequence AACATGCCAGTCGAACGATGAACCACTTCGGTGGGGATTAGTGGCGAACGGGTGAGTAACACGTGGGCAATCTGCCCTGCACTCT GGGACAAGCCCTGGAAACGGGGTCTAATACCGGATACTGATCCTCGCAGGCATCTGCGAGGTTCGAAAGCTCCGGCGGTGCAGGA TGAGCCCGCGGCCTATCAGCTAGTTGGTGAGGTAACGGCTCACCAAGGCGACGACGGGTAGCCGGCCTGAGAGGGCGACCGGCCA CACTGGGACTGAGACACGGCCCAGACTCCTACGGGAGGCAGCAGTGGGGAATATTGCACAATGGGCGAAAGCCTGATGCAGCGAC ACCGCGTGAGGGATGACGGCCTTCGGGTTGTAAACCTCTTTCAGCAGGGAAGAAGCGAAAGTGACGGTACCTGCAGAAGAAGCGC CGGCTAACTACGTGCCAGCAGCCGCGGTAATACGTAGGGCGCAAGCGTTGTCCGGAATTATTGGGCGTAAAGAGCTCGTAGGCGG CTTGTCACGTCGGTTGTGAAAGCCCGGGGCTTAACCCCGGGTCTGCAGTCGATACGGGCAGGCTAGAGTTCGGTAGGGGAGATCG GAATTCCTGGTGTAGCGGTGAAATGCGCAGATATCAGGAGGAACACCGGTGGCGAAGGCGGATCTCTGGGCCGATACTGACGCTG AGGAGCGAAAGCGTGGGGAGCGAACAGGATTAGATACCCTGGTAGTCCACGCCGTAAACGGTGGGCACTAGGTGTGGGCAACATT CCACGTTGTCCGTGCCGCAGCTAACGCATTAAGTGCCCCGCCTGGGGAGTACGGCCGCAAGGCTAAAACTCAAAGGAATTGACGG GGGCCCGCACAAGCGGCGGAGCATGTGGCTTAATTCGACGCAACGCGAAGAACCTTACCAAGGCTTGACATACACCGGAAAACCC TGGAGACAGGGTCCCCCTTGTGGTCGGTGTACAGGTGGTGCATGGCTGTCGTCAGCTCGTGTCGTGAGATGTTGGGTTAAGTCCC GCAACGAGCGCAACCCTTGTCCCGTGTTGCCAGCAGGCCCTTGTGGTGCTGGGGACTCACGGGAGACCGCCGGGGTCAACTCGGA GGAAGGTGGGGACGACGTCAAGTCATCATGCCCCTTATGTCTTGGGCTGCACACGTGCTACAATGGCCGGTACAATGAGCTGCGA TACCGCGAGGTGGAGCGAATCTCAAAAAGCCGGTCTCAGTTCGGATTGGGGTCTGCAACTCGACCCCATGAAGTCGGAGTCGCTA GTAATCGCAGATCAGCATTGCTGCGGTGAATACGTTCCCGGGCCTTGTACACACCGCCCGTCACGTCACGAAAGTCGGTAACACC CGAAGCCGGTGGCCCAACCCCTTGTGGGAGGGAGCTGTCGAAGGTGGGACTGGCGATTGTGACGAAGTCGTAA
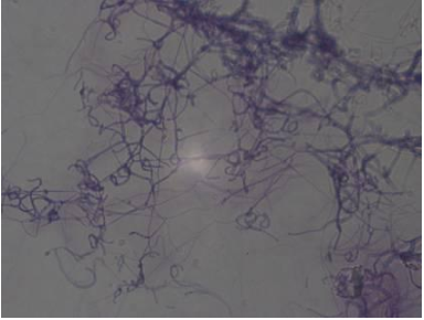
Strain Morphology Photos
Morphological Description Mycelia are branched and luxuriant;protoplasm begins to condense;old mycelia are vacuolated;spore chain is straight;short or curved spore pile is milky white;and the colony is small